Je viens pour des témoignages et avis sur les kystes synoviaux.
Petit récapitulatif : mon cheval de 5 ans, Caucase, qui vit au pré et travaille modérément (quelques sorties cso sur 80 max), a présenté subitement une boule très dure sur le côté interne du boulet. Je dirais que c'est au niveau du cul de sac synovial tendineux des fléchisseurs.
Pas de douleur, pas de chaleur, pas de boiterie (hormis au galop au pré, en pente, le jour où on a découvert la boule).
A noter que c'est un cheval peu douillet et ne laissant pas transparaître la douleur : il nous a déjà fait une hernie inguinale, une phlébite au postérieur et une septicémie, et il s'est vraiment battu comme un chef.
Bien évidemment, mise en mini-parc plat, repos strict et véto tout de suite.
Après examen (dont écho), le véto diagnostique un arrachement de la tête du sésamoïde + desmite et le met sous AI.
Pour avoir confirmation du diagnostic, on fait repasser le véto pour des radios...
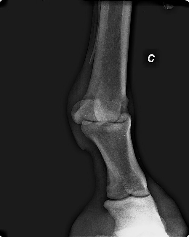
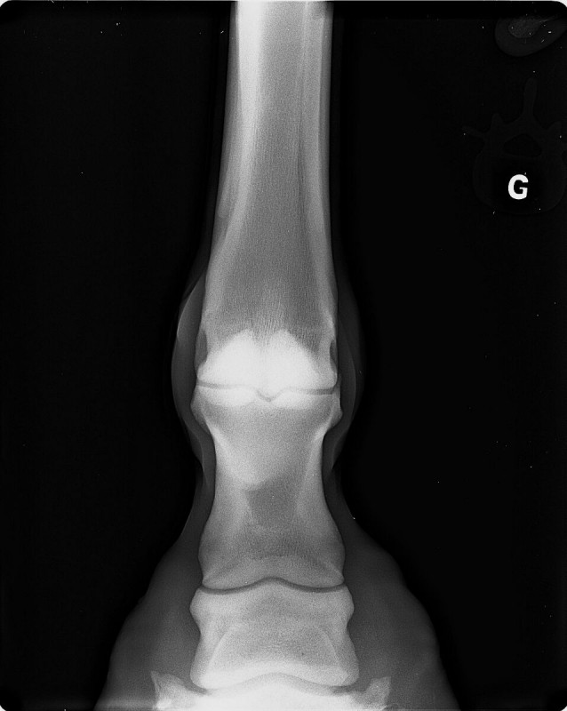
Radios que voici (on "voit" la boule, à gauche sur la deuxième radio et à droite sur la troisième) :
et voici des photos mais ça ne rend pas vraiment comme dans la réalite : la boule fait bien 2 cm de diamètre je dirais. J'essayerai d'en reprendre ce soir.
... Bref changement de diagnostic :
il s'agirait d'un kyste synovial. A enlever si le cheval présente une boiterie persistante.
Du coup, dans l'attente de plus d'infos de la part du véto, j'aimerai bien en savoir plus sur la gravité, l'évolution possible, le pronostic...
NB : je ne confond pas CA avec doctissimo, Caucase a vu le véto, je vais lui redemander des précisions et je ferais ce qui est nécessaire pour son bien mais c'est toujours intéressant d'avoir des avis ou des témoignages.
