Déminéralisation/décalcification jeune cheval

 Répondre au sujet
Page(s) : 1 2 3 4
Auteur
11118 vues - 48 réponses - 0 j'aime - 3 abonnés

Chloez

Novice

Trust : 4  (?)



  M'écrire un MP

Genre : 
Messages : 15
Déminéralisation/décalcification jeune cheval
Posté le 06/02/2016 à 16h35

Bonjour à tous,

Est ce que l'un(e) d'entre vous aurait déjà eu affaire à un cas de déminéraliation/décalcification chez un jeune cheval. Avez vous des pistes de solutions ?

Voici un résumé de mon cas :

- l'hiver de ses deux ans, mon cheval (quarter horse) a commencé à avoir le sabot de l'antérieur droit qui partait en "babouche" sur le coté externe. Pour rattraper l'affaire le maréchal à décidé de le ferrer.

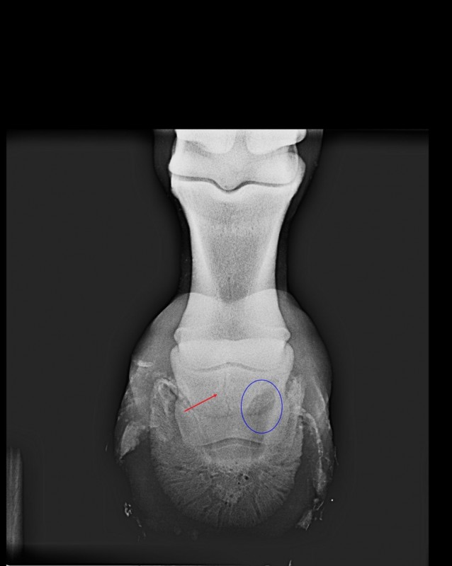
- il a été ferré régulièrement jusqu'à l'hiver de ses 4 ans. Le pied était plutôt bien revenu. J'ai donc décidé de le déférer pensant bien faire. 2 semaines après le déferrage grosse crise de fourbure. La radio de l'antérieur droit montrait un basculement de la 3ème phalange avec une forte décalcification osseuse. Sur les conseil du maréchal et du véto je l'ai laissé tranquille toute l'année suivante (ballade en main et travail en liberté en carrière)

- je viens d'effectuer une radio de contrôle (un an après) et le diagnostic n'est pas rassurant : "la troisième phalange est remaniée mais l'alignement est correct. On note toujours une zone suspecte de déminéralisation sur la vue de face. Nous vous conseillons la ferrure LAMINITIX de M. VAILLANT" (=110€ la ferrure...). Le vétérinaire m'a conseillé d'éviter les sols caillouteux (moi qui rêvais de partir en rando plusieurs jours). Il m'a vaguement parlé des injections de Tildren mais sans trop me rassurer sur leur efficacité. Aucune piste de solution d'un point de vu alimentaire (mon cheval est au foin tout l'année). A noter que maintenant le cheval présente une seime sur l'antérieur droit.

J'ai écumé les différents forum mais je n'ai pas trouvé de problèmes similaires. Connaissez vous des cas qui ressembleraient au problème de mon cheval ? Et surtout connaissez vous des solutions efficaces ?

Je vous mets ci dessous les radios de l'antérieur droit ainsi que le visuel du fer conseillé.
Merci d'avance pour vos messages !

Cliquez pour voir l'image   

Cliquez pour voir l'image   

Cliquez pour voir l'image   

Bloops29

Membre ELITE Bronze
  

Trust : 155  (?)



  M'écrire un MP

Genre : 
Messages : 7062
0 j'aime    
Déminéralisation/décalcification jeune cheval
Posté le 08/02/2016 à 15h03


frederique3560 a écrit le 08/02/2016 à 14h51:



Oui , entre autre parce que son emploi est délicat surtout en injection en 1 seule fois .


Je ne me souviens plus de tous les compléments que j'ai donné à l' époque , mais il y a eu au moins 2 seaux d'ostéo repair . Audevard .


C'est l'Ekyflex osteo maintenant, je crois.

Chloez

Novice

Trust : 4  (?)



  M'écrire un MP

Genre : 
Messages : 15
0 j'aime    
Déminéralisation/décalcification jeune cheval
Posté le 08/02/2016 à 20h13

Merci pour vos messages !

Dommage que le Ln mineral soit si cher. Je comprend pas trop ce qui justifie le prix (96€ pour 1 mois) étant donné qu'il est constitué de plantes et de minéraux.

Je me demande si ça vaut pas plutôt le coup d'acheter séparément :
- 1 CMV, par ex Oligovit 25€ pour 85 jours
- 1 kg d'orties, 14€ le kg
- 1 kg de prêle, 14€ le kg

Vous connaissez les produits de http://www.distrihorse33.com ?

Pour le CMV j'ai compris qu'il fallait le donner tout au long de l'année. Par contre pour l'ortie et la prêle je ne sais pas ce qui est le mieux : faire des cures, tout au long de l'année aussi ?

Frederique3560

Membre ELITE Or

Trust : 308  (?)



  M'écrire un MP

Genre : 
Messages : 9369
1 j'aime    
Déminéralisation/décalcification jeune cheval
Posté le 08/02/2016 à 20h51


bloops29 a écrit le 08/02/2016 à 15h03:


C'est l'Ekyflex osteo maintenant, je crois.


C'était ça http://www.equisante.com/fr/catalogue/audevard-ekyflex-repair-osteo-repair-osteo-complex,1371.html


Oui j'ai regardé c'est quasi la même composition , le dosage du zinc est différent .

Frederique3560

Membre ELITE Or

Trust : 308  (?)



  M'écrire un MP

Genre : 
Messages : 9369
0 j'aime    
Déminéralisation/décalcification jeune cheval
Posté le 08/02/2016 à 20h57


chloez a écrit le 08/02/2016 à 20h13:
Merci pour vos messages !

Dommage que le Ln mineral soit si cher. Je comprend pas trop ce qui justifie le prix (96€ pour 1 mois) étant donné qu'il est constitué de plantes et de minéraux.

Je me demande si ça vaut pas plutôt le coup d'acheter séparément :
- 1 CMV, par ex Oligovit 25€ pour 85 jours
- 1 kg d'orties, 14€ le kg
- 1 kg de prêle, 14€ le kg

Vous connaissez les produits de http://www.distrihorse33.com ?

Pour le CMV j'ai compris qu'il fallait le donner tout au long de l'année. Par contre pour l'ortie et la prêle je ne sais pas ce qui est le mieux : faire des cures, tout au long de l'année aussi ?




Alors je ne sais pas pour ce produit mais çe qui est sûr c'est que selon l'origine des ingrédients, la façon dont ils sont préparés , il y a des différences au niveau de l'assimilation par l'organisme .
Par exemple donner 10g d'ortie séchées soi même , et 10g préparées selon un procédé spécial qui aura préservé les valeurs de l'ortie , c'est très différent au niveau du résultat dans l'organisme .
C'est un exemple pris au hasard pour expliquer le principe .
Donc recréer soi même les produits n'est peut être pas toujours judicieux .

Chloez

Novice

Trust : 4  (?)



  M'écrire un MP

Genre : 
Messages : 15
0 j'aime    
Déminéralisation/décalcification jeune cheval
Posté le 09/02/2016 à 17h39

Je suis déprimée ce soir. Mon cheval avait déféré des deux antérieurs, en venant lui remettre ses fers le marechal à dit que s'il était à ma place il mettrait ce cheval au pré et s'en rachèterait un. Il m'a dit qu'il pense également qu'il ne pourra pas tenir des randos sur plusieurs jours.

Autant je m'étais préparée à faire "moins" que ce que j’envisageais autant je ne pensais pas avoir à mettre mon cheval à la retraite avant même avoir commencé le débourrage... Qui plus est, je n'aurai pas les moyens d'entretenir deux chevaux.

Dsl le partager cette baisse de moral avec vous.

Cicitt

Membre d'honneur

Trust : 31  (?)



  M'écrire un MP

Genre : 
Messages : 1388
0 j'aime    
Déminéralisation/décalcification jeune cheval
Posté le 09/02/2016 à 17h49

Je compatis!
Mais je tenterais quand même de faire quelque chose, si c'était moi. Après faut que tu voies ce que tu es prête à débourser. Je suis de nature plutôt optimiste...

Courage!

Chloez

Novice

Trust : 4  (?)



  M'écrire un MP

Genre : 
Messages : 15
0 j'aime    
Déminéralisation/décalcification jeune cheval
Posté le 09/02/2016 à 18h02

Je suis déprimée ce soir. Mon cheval avait déféré des deux antérieurs, en venant lui remettre ses fers le marechal à dit que s'il était à ma place il mettrait ce cheval au pré et s'en rachèterait un. Il m'a dit qu'il pense également qu'il ne pourra pas tenir des randos sur plusieurs jours.

Autant je m'étais préparée à faire "moins" que ce que j’envisageais autant je ne pensais pas avoir à mettre mon cheval à la retraite avant même avoir commencé le débourrage... Qui plus est, je n'aurai pas les moyens d'entretenir deux chevaux.

Dsl le partager cette baisse de moral avec vous.

Frederique3560

Membre ELITE Or

Trust : 308  (?)



  M'écrire un MP

Genre : 
Messages : 9369
0 j'aime    
Déminéralisation/décalcification jeune cheval
Posté le 09/02/2016 à 18h47

Cloez,

Le maréchal a été cru dans sa façon de dire les choses .
Mais il a le mérite de ne pas vous laisser vous bercer de faux espoirs .
Je sais ce que vous pouvez ressentir et combien c'est brutal, injuste et douloureux de voir ses rêves s'effondrer ... On se raccroche toujours â l'espoir de jours meilleurs en se disant qu'on va adapter , qu'il y a sûrement des pistes non explorées pour améliorer la situation etc etc .

Oui vous pouvez améliorer le confort de locomotion de votre cheval , par des fers spéciaux ou des hippos avec des semelles où je ne sais quoi d'autre , peut être par des compléments alimentaires en plus , mais non vous ne lui reconstruirez pas une phalange solide .

Êtes vous prête à renoncer à monter quand ca ne sera plus du tout possible , et ce bien avant un âge de retraite normal ?
Êtes vous prête à monter moins que vous voudriez ou meme à ne monter que très peu et que pour certaines activités ? Â le voir parfois souffrir et â culpabiliser d'en avoir trop fait ?
Pouvez vous vous permettre de lui offrir les soins et ferrures adaptées ?

Quoi que vous fassiez, c'est gagner du temps , profiter avec votre cheval de çe qu'il peut encore faire à ce jour sans souffrir , et dans le meilleur des cas c'est aussi vous interdire certaines activités qui aujourd'hui ne le font pas souffrir mais qui accéléreront le processus de dégradation .

Voyez avec votre vétérinaire ce qui est le mieux pour l'avenir du cheval , le laisser au pré ou maintenir une activité adaptée .

Et ensuite vous déciderez .

Et si vous veniez à choisir de le placer dans un pré dés maintenant pour compagnie ou faire tondeuse , ne culpabilisez pas . Un cheval ne souhaite rien d'autre que brouter et vivre sa vie de cheval . Et si vous ou une autre personne continuez à lui apporter de l'attention , de l'affection et les soins dont il a besoin, il aura une vie de cheval domestique comblée .
Vous aurez fait çe qu'il faut de façon responsable et n'aurez pas à culpabiliser d'avoir choisi cette solution pour pouvoir d'autre part " profiter" de l'équitation avec un autre cheval .


Dans tous les cas, un jour il faudra prendre cette décision .
Prenez votre temps pour réfléchir, digérer ce que vous saviez déjà mais que çe maréchal vient de vous dire sans ménagement .

Si je peux me permettre, et sans vouloir vous influencer :

J'avoue, en me renvoyant des années en arrière, que je le demande si je n'aurai pas préféré qu'on me tienne ce discours brutal mais réaliste ... Car essayer de trouver des solutions pour un cheval avec ce type de pathologie est un parcours qui peut virer au calvaire : espoirs, déceptions, périodes de rémissions puis à nouveau rechutes , recherches sans fin de nouvelles solutions et il faut le dire un gros investissement moral et financier .
Bref, c'est un cheminement souvent douloureux , dans tous les sens du terme ... Y compris pour le cheval .
Et bizarrement quand enfin apres des années on lâché prise , on admet renoncer à s'acharner , c'est comme une délivrance. Une décision à la fois triste mais paisible .
Mais peut être qu'on ne peut y arriver que si d'abord on a combattu ? Peut être que çe combat perdu d'avance on a " besoin" de le mener pour accepter ?
Mais si c'était à refaire, je sais aujourd'hui quel serait mon choix .

J'espère ne pas vous heurter davantage et vous apporter quelques éléments de réflexion .




Bloops29

Membre ELITE Bronze
  

Trust : 155  (?)



  M'écrire un MP

Genre : 
Messages : 7062
0 j'aime    
Déminéralisation/décalcification jeune cheval
Posté le 09/02/2016 à 19h28

Je compatis. C'est une réflexion que j'ai aussi aujourd'hui. J'ai même une place au champ qui m'attend si besoin.

Je sais que mon véto sera honnête et qu'il me dira si je peux ou non continuer à la monter, dans un avenir plus ou moins proche.
Pour l'instant, je n'y renonce pas : elle va sur ses 6 ans, elle est jeune, c'est mon unique et première jument, j'ai des objectifs, des espoirs...
Si j'accepte de laisser tomber tout ça, c'est parce qu'un professionnel me l'aura dit.

Ne dramatise pas mais ne te fais pas d'illusion non plus, attends l'avis de ton vétérinaire.

Chloez

Novice

Trust : 4  (?)



  M'écrire un MP

Genre : 
Messages : 15
0 j'aime    
Déminéralisation/décalcification jeune cheval
Posté le 09/02/2016 à 19h47

Merci pour vos messages. En effet mieux vaut ne pas se bercer d'illusions. C'est cependant difficile à entendre parque avant les radios de contrôle : le maréchal était content de son travail, l'ostéo me disait que mon cheval était en bonne santé. Quand je le fait travailler en liberté en carrière il à la pêche fait des allers retours au triple galop avec coups de culs.

Bref c'est d'autant plus difficile à entendre que son état "extérieur" ne montre pas ses faiblesses.

En plus comme je suis dans une phase ou je cherche toutes les solutions j'ai contacté un "pareur naturel" qui me dit qu'il n'y a rien de pire que les fers à l'envers...

Bref tout cela n'aide pas à prendre une décision, je pense en effet que l'idée à besoin de murir.

Bloops29

Membre ELITE Bronze
  

Trust : 155  (?)



  M'écrire un MP

Genre : 
Messages : 7062
0 j'aime    
Déminéralisation/décalcification jeune cheval
Posté le 09/02/2016 à 21h26

Tu as raison, prends le temps de réfléchir.

La mienne aussi est capable de s'en donner à cœur joie en étant sur trois pattes, elle gère ses appuis.

Du nouveau aussi de mon côté, je l'ai questionné à propos des bleimes. Elle en a sur les 4 pieds, à chaque fois, sur la face externe de la paroi. En parant, on s'est rendu compte que la couleur rosée suit toute la ligne blanche, sur chaque pied. La cause est très probablement interne... Mais c'est un grand mystère.
EDIT : je me suis mal exprimée, ce sont plutôt des hématomes.

Édité par bloops29 le 09-02-2016 à 22h18



Chloez

Novice

Trust : 4  (?)



  M'écrire un MP

Genre : 
Messages : 15
0 j'aime    
Déminéralisation/décalcification jeune cheval
Posté le 10/02/2016 à 20h17

Le mien a eu des hématomes aussi à un moment donné. Mais c'est parti.

Hier soir je suis tombée sur un forum d'un pareur "naturel". Je lui ai soumis le cas de mon cheval. Il m'a dit que les fers à l'envers étaient une catastrophe. Je lui ai demandé pourquoi mais il m'a renvoyé sur le contenu de son forum. J'avoue que n'étant ni véto, ni maréchal j'ai de la peine à comprendre toutes ses démonstrations.
Je lui ai demandé s'il pensait que le fait d'être "pied nu" pouvait davantage aider mon cheval, il m'a répondu "Vous pouvez me le donner aussi ! lol Je saurais m'en occuper!" ...pas cool...

Cicitt

Membre d'honneur

Trust : 31  (?)



  M'écrire un MP

Genre : 
Messages : 1388
0 j'aime    
Déminéralisation/décalcification jeune cheval
Posté le 10/02/2016 à 22h04

Si c'était Guillaume, ça ne m'étonne pas.

Chloez

Novice

Trust : 4  (?)



  M'écrire un MP

Genre : 
Messages : 15
0 j'aime    
Déminéralisation/décalcification jeune cheval
Posté le 10/02/2016 à 22h47


cicitt a écrit le 10/02/2016 à 22h04:
Si c'était Guillaume, ça ne m'étonne pas.


j'ai tapé à la mauvaise porte on dirait

Cicitt

Membre d'honneur

Trust : 31  (?)



  M'écrire un MP

Genre : 
Messages : 1388
0 j'aime    
Déminéralisation/décalcification jeune cheval
Posté le 10/02/2016 à 23h27

Il pare très bien mais est carrément extrémiste. Je me suis déjà pris la tête avec lui...

As tu contacté le vétérinaire de cheval energy?
Page(s) : 1 2 3 4
Déminéralisation/décalcification jeune cheval
 Répondre au sujet