Bonjour,
J’essaie de comprendre une radio et surtout les répercussions sur le pied et le parage.
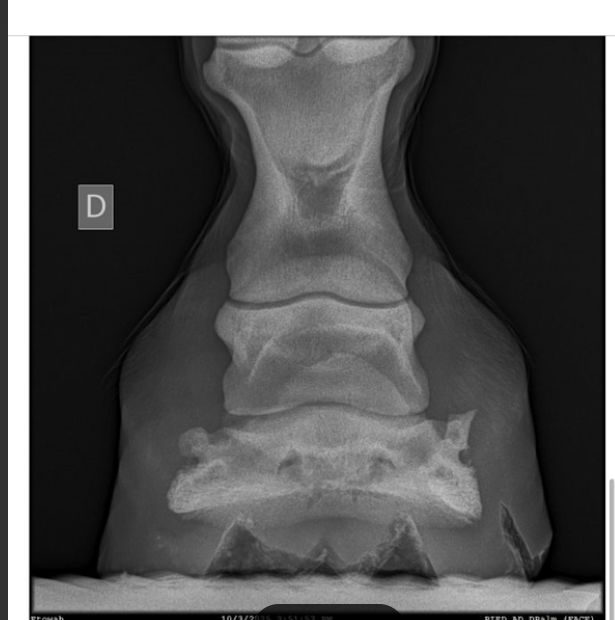
C’est un antérieur droit, pris de face. On voit qu’il y a un déséquilibre latero médial et que le cartilage est affiné en interne. Si on mesure la distance de P3 au sol, on dirait que P3 est plus haute en externe, mais du coup je ne comprends pas pourquoi c’est le côté interne qui est pincé.
La vétérinaire était pas capable de me dire ce qu’il fallait faire en parage, de quel côté il fallait rabaisser. Le talon interne a tendance à être plus haut, donc si je suis mes repères habituel, c’est celui ci que je dois légèrement baissé, mais je ne trouve pas cela logique avec la radio.
Quelqu’un comprend t’il ?
Merci pour votre aide
