Boîterie mystère ... abcès ?

 Répondre au sujet
Page(s) : 1 2 3
Auteur
2683 vues - 36 réponses - 0 j'aime - 2 abonnés

Kiwan231

Apprenti
  

Trust : 90  (?)



  M'écrire un MP

Genre : 
Messages : 358
Boîterie mystère ... abcès ?
Posté le 04/12/2015 à 17h45

Bonjour à tous,
Je souhaiterais des pistes/conseils concernant la boiterie de ma jument.

Il y a un mois exactement, je la découvre raide boiteuse, style "jambe cassée", de l'antérieur droit. Ceci est parvenu 3 jours après parage/osthéo. Elle était donc au repos depuis.
Rien de chaud, rien de gonflé, ni dans le pied, ni plus haut.
c'est si soudain et sans autres symptôme qu'on pense à un abcès... la boiterie est beaucoup plus forte sur terrain caillouteux que sur le dur. L'osthéo revient le samedi pour voir, pour elle s'est aussi un abcès, rien de musculaire/tendineux

Bain de pied au bicarbonate, cataplasme de grain de lin..., après une semaine, la jument boite nettement moins, mais boite toujours.
Une sorte de boule s'est formée en dessous de la couronne, sur la corne, étrange endroit pour un abcès mais on décide d'attendre encore un peu. Aucune évolution, le véto vient après 10 jours.

Il sonde le pied, qui est clairement la cause de la boiterie selon lui, et décide de faire une radio, malgré cela il n'arrive pas à localiser l'abcès, mais détecte, une petite déformation de la 3 ème phalange, pile à l'endroit ou l'espèce de bosse s'est formée dans la boîte cornée.
Il a peur qu'une infection touche l'os donc : antibio + anti inflammatoire + continuer les cataplasmes dans le cas ou l'abcès ne serait pas sortit.

Ce traitement est maintenant terminé, la jument boite toujours, vraiment moins, uniquement en carrière, sur volte, à main droite (boiterie ant. droit!), le véto me dit d'attendre 10 jours (lundi) (car si infection, cela ce serait empirer et n'irait pas mieux), et sinon on devrait l'emmener en clinique.

Aujourd'hui elle a le pied chaud pour la première fois.

Avez-vous déjà eu affaire à des abcès qui mettent si long à murir ? ä des complications ?
Je patauge un peu....

merci !



Balagan.

Initié
 

Trust : -  (?)



  M'écrire un MP

Genre : 
Messages : 92
0 j'aime    
Boîterie mystère ... abcès ?
Posté le 05/12/2015 à 09h14

Je viens d'avoir un cas similaire sur un deux ans...boiterie intermittente depuis 1 mois et demi. Cheval passant par tous les stades : sur 3 pieds, bancal, droit.
Je commençais à trouver ça trop long pour un abcès, sondé x fois sans succès. Il a été radiographié/échographié de bas en haut sans rien trouver. On est donc reparti sur la thèse de l'abcès, on a remis des pansements humides et 4 jours après le maréchal a fini par trouver un petit abcès.
Donc ça peut être un abcès qui va et qui vient même s'il faut éliminer d'autres causes.

Kiwan231

Apprenti
  

Trust : 90  (?)



  M'écrire un MP

Genre : 
Messages : 358
0 j'aime    
Boîterie mystère ... abcès ?
Posté le 05/12/2015 à 10h13


balagan. a écrit le 05/12/2015 à 09h14:
Je viens d'avoir un cas similaire sur un deux ans...boiterie intermittente depuis 1 mois et demi. Cheval passant par tous les stades : sur 3 pieds, bancal, droit.
Je commençais à trouver ça trop long pour un abcès, sondé x fois sans succès. Il a été radiographié/échographié de bas en haut sans rien trouver. On est donc reparti sur la thèse de l'abcès, on a remis des pansements humides et 4 jours après le maréchal a fini par trouver un petit abcès.
Donc ça peut être un abcès qui va et qui vient même s'il faut éliminer d'autres causes.



Ok merci pour ton témoignage ça me rassure un peu qu'un abcès puisse durer si longtemps et passer par différents stade.
Le véto à confirmer que c'était bien abcès, mais il n'arrive pas à le localiser donc il n'a pas voulu le percer (ouf), mais du coup ça commence à durer donc je m'inquiète un peu... surtout que ça ne suit pas le chemin habituel que prenne les abcès. Et cette histoire d'infection de l'os me fait un peu flipper aussi.

Kanato

Novice

Trust : 10  (?)



  M'écrire un MP

Genre : 
Messages : 46
1 j'aime    
Boîterie mystère ... abcès ?
Posté le 05/12/2015 à 23h39

Ton post me fait un peut penser à ce que j'ai vécu avec ma pouliche (16 mois).

Semaine 1, elle se met à boiter de l'antérieur gauche. Boiterie pas franche, disons plutôt qu'elle n'est pas carrée... Aucun signe de blessure, ni d'engorgement sur le membre, J'attends donc en me disant que si c'est un abcès, il devrait murir en S2 et accentuer la boiterie, j'appellerai le maréchal à ce moment là.

Semaine 2 à 7, plus aucune boiterie. J'en conclu qu'elle avait du se prendre un coup au pré.

Semaine 8, la boiterie reprend un peu plus franche qu'en semaine 1. Je sonde le pied et détecte effectivement une douleur à ce niveau. Le maréchal vient et confirme l'abcès, il creuse un peu mais sans plus : "pas assez mur" selon lui. Il me conseille d'attendre.....!

Semaine 9 et 10 : La boiterie disparaît totalement. Je me dis qu'en creusant il a du libérer un peu de pression, mais je n'ai toujours rien vu sortir... Je m'inquiète et commence à penser au pire (infection de l'os, ou autre chose qu'un abcès...). J'appelle la véto qui ne peut venir que la semaine d'après.

Semaine 11 : Elle boite un peu à nouveau. Ma véto passe, et conclut également à un abcès. Je la mets sous PVB abcès + pose de cataplasmes Animalintex protégés par un chausson médical, et rappelle un autre maréchal avec qui travaille souvent la véto.

Deux jours et 3 cataplasmes plus tard, le maréchal passe et l'abcès vient de sortir par le bas.
Il creuse tout le long de la ligne blanche. Verdict : depuis début septembre, l'abcès a fait tout le tour du pied. Il en a rarement vu un aussi gros et ayant mis tant de temps à sortir...
J'ai gardé la pouliche deux jours sous Animalintex pour m'assurer que l'abcès se vide bien + un semaine sous PVB abcès.
Les "séquelles" l'ont fait boiter pendant une semaine. Depuis, plus rien. Et je croise les doigts, parce que bonjour l'angoisse pendant presque 3 mois.

Tente l'animalintex + PVB abcès. C'est ce qui a fonctionné pour moi !

Bon courage !

Kiwan231

Apprenti
  

Trust : 90  (?)



  M'écrire un MP

Genre : 
Messages : 358
0 j'aime    
Boîterie mystère ... abcès ?
Posté le 06/12/2015 à 10h31

Merci pour ton témoignage. Effectivement plusieurs personnes m'ont parlé de l'animallintex, je vais voir si le véto en a, car il ne m'en a pas proposé.
La j'ai mis cataplasme d'huile de ricin, apparemment ça stimule le système immunitaire.
pfioouu c'est long et mystérieux

Cicitt

Membre d'honneur

Trust : 31  (?)



  M'écrire un MP

Genre : 
Messages : 1388
0 j'aime    
Boîterie mystère ... abcès ?
Posté le 06/12/2015 à 10h38

Animalintex ou un autre équivalent de chez Farnam. Sur internet c'est moins cher, j'en trouve également en sellerie et pharmacie.

Kanato

Novice

Trust : 10  (?)



  M'écrire un MP

Genre : 
Messages : 46
0 j'aime    
Boîterie mystère ... abcès ?
Posté le 06/12/2015 à 10h55

J'en ai commandé la semaine dernière sur le site "Doc horse". Il me semble que c'est le site le moins cher.
Les maréchaux peuvent en avoir aussi.

Kanato

Novice

Trust : 10  (?)



  M'écrire un MP

Genre : 
Messages : 46
0 j'aime    
Boîterie mystère ... abcès ?
Posté le 06/12/2015 à 10h56

J'en ai commandé la semaine dernière sur le site "Doc horse". Il me semble que c'est le site le moins cher.
Les maréchaux peuvent en avoir aussi.

Mielpops

Membre VIP
  

Trust : 56  (?)


  Mon site internet
  M'écrire un MP

Genre : 
Messages : 4533
0 j'aime    
Boîterie mystère ... abcès ?
Posté le 06/12/2015 à 11h10

PVB abcès est vraiment un top produit. Tous les abcès de mon cheval (et il en a eu beaucoup le temps que la corne se renouvelle entièrement) ont muri en moyenne en 48h grâce à ca.

(en plus c'est pas cher et c'est de l'homéopathie)

Bon courage en tout cas j'ai hâte de savoir le fin mot de l'histoire

Kiwan231

Apprenti
  

Trust : 90  (?)



  M'écrire un MP

Genre : 
Messages : 358
1 j'aime    
Boîterie mystère ... abcès ?
Posté le 06/12/2015 à 12h08

Je suis sur Suisse donc tous ces produits sont plus difficiles à trouver...
J'ai donné de l'homéopathie, hepa sulfur, silicéa...au tout début de l'abcès et pas de changement.
Le pub abcès se trouve en pharmacie ?

Oui je vous tiendrais au courant, je suis sensée rappeler le véto mercredi, j'espère que ça aura évoluer d'ici là.

Kiwan231

Apprenti
  

Trust : 90  (?)



  M'écrire un MP

Genre : 
Messages : 358
0 j'aime    
Boîterie mystère ... abcès ?
Posté le 12/12/2015 à 10h41

Bon aucune évolution,
clinique lundi pour plus d'investigation :(

Balagan.

Initié
 

Trust : -  (?)



  M'écrire un MP

Genre : 
Messages : 92
0 j'aime    
Boîterie mystère ... abcès ?
Posté le 12/12/2015 à 13h50


kiwan231 a écrit le 12/12/2015 à 10h41:
Bon aucune évolution,
clinique lundi pour plus d'investigation :(



Même si l'abcès reste possible, c'est en effet plus prudent de vérifier et d'éliminer d'autres causes. Bon courage!

Sandy_x89

Apprenti
  

Trust : 126  (?)



  M'écrire un MP

Genre : 
Messages : 239
0 j'aime    
Boîterie mystère ... abcès ?
Posté le 12/12/2015 à 23h50

J'ai eu à faire à un abcès sur mon vieux loulou, mais ce n'était pas si long... Après comme c'est roque, peut-être qu'il avait déjà mal avant, sans boîter...

C'est arrivé du jour au lendemain, il allait très bien la veille et le lendemain, il pose plus son anterieur par terre du tout. Il avait le boulet enflée mais pas dur, puis au fur et à mesure, ça durcissait, jusqu'au genoux ! Il était tellement fatigué, qu'il s'en allongeait ! C'était très impressionnant, j'ai cru qu'il s'était casser quelque chose, tout ça à durer bien 2-3 semaines ! En tout !
J'avais tremper sa jambe dans de l'eau chaude, masser, pendant 20 minutes, le demain, l'abcès à percer à la couronne, et puis le lendemain encore de ça, ça à percer aussi derrière le sabot ! Et ça supurer pendant 1 semaine ! J'ai passé des jours et des jours à désinfecter + bandage mais il posait de mieux en mieux son pied puis finis, il gambade maintenant !

Je n'avais jamais eu à faire aux abcès, j'ai eu très peur quand même...

Alors ce n'est que mon vécu, je ne sais pas si d'autres personnes ont eu à faire à un abcès qui met autant de temps à murir, mais ce que je sais c'est qu'en me renseignant un peu, c'est pas souvent long...


Les tendons ?

Kiwan231

Apprenti
  

Trust : 90  (?)



  M'écrire un MP

Genre : 
Messages : 358
0 j'aime    
Boîterie mystère ... abcès ?
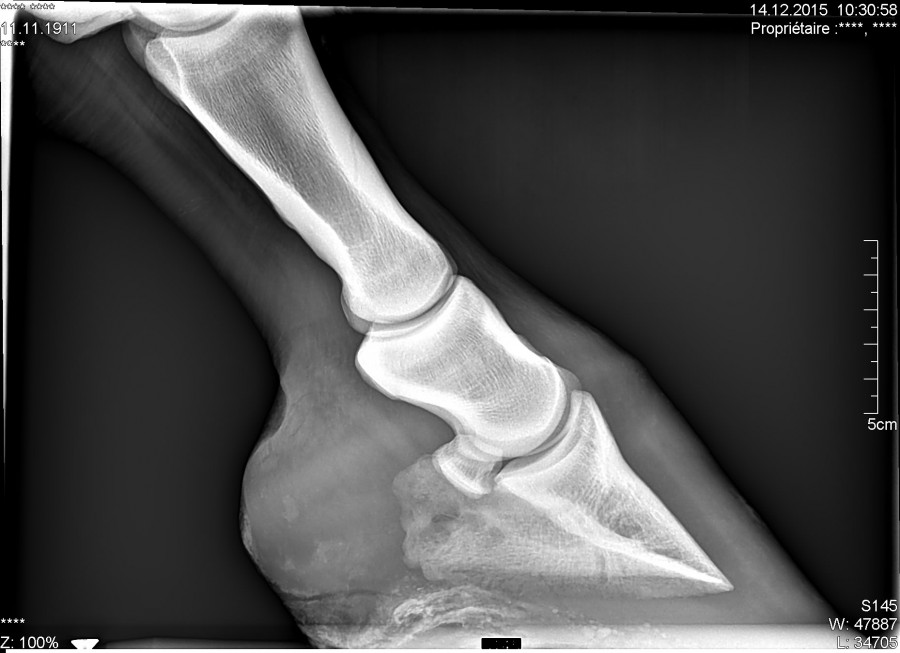
Posté le 14/12/2015 à 16h57

Alors le verdict .... Une grosse fourmilière qui remontait très haut et qui décollait la paroie, ils ont charcuté tout ça, elle a un gros trou dans la paroie, ça va nécessiter des soins et du temps pour que ça repousse, mais au moins ce n'est pas un problème plus grave et chronique !

Kiwan231

Apprenti
  

Trust : 90  (?)



  M'écrire un MP

Genre : 
Messages : 358
0 j'aime    
Boîterie mystère ... abcès ?
Posté le 14/12/2015 à 16h59

Pour ceux que ça intéresse, les radios :





Sandy_x89

Apprenti
  

Trust : 126  (?)



  M'écrire un MP

Genre : 
Messages : 239
0 j'aime    
Boîterie mystère ... abcès ?
Posté le 15/12/2015 à 11h08

La vache !!!
Page(s) : 1 2 3
Boîterie mystère ... abcès ?
 Répondre au sujet