Booon, je vais continuer ce post mais pour suivre l'évolution de mon os trigone. Il y a peu de témoignages sur Internet donc je me dis que ça pourra servir :)
J'ai vu un chirurgien orthopédiste ce matin pour qu'on voit ensemble mon problème.
Rappel rapide : douleurs importantes depuis toujours dans ma cheville droite, imputées à la fameuse ... croissance bien sur. Radio réalisées vers 12 ans sans rien trouver.
Pratique de danse classique (5 ans), natation (11 ans), gymnastique (4 ans je crois), karaté (2 ans), kick-boxing (2 ans), équitation (12 ans) mais jamais de manière intensive. Je suis très active depuis toujours MAIS pas non plus super sportive. Je marche beaucoup et j'ai eu pas mal de période de course à pied où je suis plutôt bonne (toujours sur les podium au collège

). J'ai l'habitude d'avoir mal et des entorses fréquentes, rien de grave non plus, je vis avec sans trop râler même si c'est pénible.
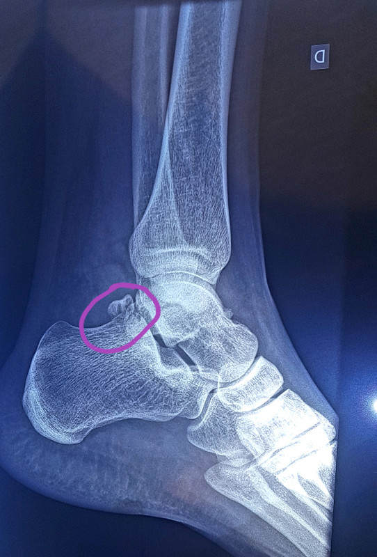
Mai 2019, grosses, grosses douleurs à la cheville qui est monstrueuse, on ne distinguait même plus ma maléole. Suspicion d'infection, PDS, écho, radio, IRM et enfiiiin on découvre cela :
Petit os trigone, ce qui n'est pas spécialement rare (6 à 7% de la population) mais qui ne pose que très rarement problème. J'ai aussi énormément de kystes (à l'IRM, ils ont mis 45mn à voir et avec deux injections de produit) dûs probablement aux frottements.
On appelle cela le conflit/syndrome du carrefour postérieur. Typique des pratiquant•es de foot, de danse ou de natation avec palmes.
Sur le moment, comme je sortais d'une fausse couche et d'un gros zona facial, j'étais un peu baladée de cliniques en hosto depuis 5 mois, je n'ai pas eu la présence d'esprit de demander si on pouvait simplement me l'ôter.
De plus, après cette crise et quelques semaines de boiterie (sans arrêt de travail à part 3 jours où j'étais en béquille), ça passe et ça se gère.
3 ans après, belle rechute, je galère de plus en plus au quotidien jusqu'au point actuel où je ne peux pas marcher une heure sans boiter, la douleur me réveille parfois la nuit, je ne peux plus faire aucun mouvement qui tend ma cheville en pointe (enfiler des chaussettes ou des chaussures rigides me prend du temps et me fait mal) ... un véritable handicap au quotidien.
Et donc ce matin ... excellente nouvelle, je peux me faire opérer ! Le chirurgien m'a expliqué comment il allait rogner l'os en passant de chaque côté du tendon. Je vais avoir 48h d'hospitalisation, une rachisanesthésie et le port d'une chaussure en résine 3 semaines. Également 30j de piqûres quotidiennes d'antigoaculants et vérification du taux de plaquettes deux fois par semaine.
Après cette immobilisation totale où je devrais garder le pied en hauteur et ne surtout pas poser, il y aura de la kiné et de la rééducation quelques semaines. Au total, 6 à 8 semaines après la chirurgie, je devrais marcher tout à fait normalement et recommencer le sport !!!
Ma date d'opération est le 13 Décembre. Avant cela je dois refaire radios et IRM afin de voir si le tendon s'est encore abîmé ou non, et communiquer l'ensemble à mon chirurgien.
J'ai vraiment hâte