Jdb : les pieds de mon cheval - boiterie p.8

 Répondre au sujet
Page(s) : 1 2 3 4 5 6 7 8
Auteur
8836 vues - 109 réponses - 0 j'aime - 12 abonnés

Pollux77

Membre VIP
  

Trust : 857  (?)



  M'écrire un MP

Genre : 
Messages : 4887
Jdb : les pieds de mon cheval - boiterie p.8
Posté le 16/05/2020 à 23h32

Bonsoir !

Je crée ce post pour avoir un historique . . . des pieds de mon cheval ^^
Ca parait bizarre mais c'est un sujet récurrent dans nos vies


Mon cheval


Ontario
Officiellement ONCS, officieusement ONCT A la décharge du vétérinaire qui l'a identifié, à l'époque (2ans et demi) il faisait le tier de son gabarit adulte
Né en 2005
Avec moi depuis le 10/05/2008
On a fait un peu de tout dans notre vie ensemble : TREC, randonnées, balades, un peu de plat en carrière mais on a vite renoncé, un a testé le Barrel Race . . .

Et le voici en photo ! Photo récente

Cliquez pour voir l'image   


Ses pieds jusque 2011


Dés le départ il a été ferré des 4 pieds. A vrai dire je ne connaissais pas autre chose personnellement alors je ne me suis pas posé la question !

Tout allait bien ! Juste il avait les pieds très secs, je devais les graisser été comme hiver . . . Mais soit, ce n'était pas un souci !
Lorsque j'ai commencé à me demander s'il était nécessaire de le ferrer, j'en ai parlé avec mon maréchal : pour lui aucun doute, mon cheval devait être ferré des 4 ou au moins des antérieurs à cause de son gabarit et de la taille non-adaptée de ses pieds à celui-ci.

Ca a fait son chemin et puis un jour j'ai décidé de demander au maréchal de ne le ferrer que devant ! Ca s'est âs trop mal passé. En même temps on ne faisait pas grand chose et j'habitais la région parisienne à l'époque : terre, herbe . . . Tranquille quoi ^^

Seul gros souci ces années là : les seimes . . . Ah il ne m'en a pas fait souvent ! Mais alors ça durait des mois tellement sa pousse de pied était pourrie ! Et la seule chose qu'on me disait de faire c'est de faire des cures de biotine, ce qui n'avait pas grand effet . . .


Ses pieds de 2011 à 2017


En 2011 direction le Sud-Est ! Je crois que mon cheval m'a détesté . . . On est passé de verts paturages à des paddock en terre et cailloux/galets de 10M sur 5M . . . Sans parler des chemins de balade composés à 95% de caillasse. Aller hop ! On referre des 4 hein ^^
Par contre plus besoin de graisser les pieds l'hiver et ils poussaient plus vite ! Moins de seimes également, nickel !

Le temps passe et je trouve ses pieds beaucoup mieux. Je tente de redéferrer les postérieurs, le résultat n'est pas fou . . . Mais ça va il s'y fait bien !
J'ai passé quelques années compliquées personnellement donc je ne me souviens plus exactement des étapes concernant ses pieds mais en gros on a alterner 2 et 4 fers pendant ces années là !
J'ai tenté de déferrer les 4 mais je n'ai pas été accompagnée assez et je trouvais mon cheval vraiment pas bien du coup ça n'a duré que 6/7 semaines . . .


Premier tournant Février 2017


Septembre 2016, Ontario se blesse à l'antérieur gauche en essayant de saillir un jument. Enfin c'est ce qu'on me rapporte, je n'étais pas là et la gérante n'a pas trouvé utile de me prévenir . . . Je l'ai appris 3 jours après en rentrant de vacances et en y allant ! Bref . . .

Novembre 2016 c'est guérri et je prends un cours d'etho en carrière. Pendant le cours on nous demande de cercler les chevaux : en gros les longer au pas et au trot avec la longe etho.
A main gauche RAS, à main droite il est raide boiteux au trot ! Je stoppe direct : mon cheval est dur au mal, s'il boite c'est que ça tire !

Je me dis qu'il a dû forcer sur ce membre pour soulager l'autre pendant la blessure . . . Du coup je le laisse plusieurs semaines au repos puis je reprends quelques balades. Tout va bien !

Janvier 2017 je reprends un cours d'etho et rebelotte ! Mon cheval est raide boiteux au trot à main droite. Je laisse de nouveau au repos et appelle la véto pour radio.
Résultat : arthrose en face antérieure de la 2ème phalange et ossification des cartilages ungulaires. D'après la véto, inutile de faire des radios de l'autre pied. Pour elle c'est sur qu'il y a la même chose, peut-être en moins développé mais présent quand même. C'est parait-il la "maladie des chevaux de trait"

Je fais la suite dans un nouveau message pour pas que celui-ci soit encore plus long

Édité par pollux77 le 31-10-2021 à 12h10

Pollux77

Membre VIP
  

Trust : 857  (?)



  M'écrire un MP

Genre : 
Messages : 4887
0 j'aime    
Jdb : les pieds de mon cheval - boiterie p.8
Posté le 13/06/2020 à 22h36

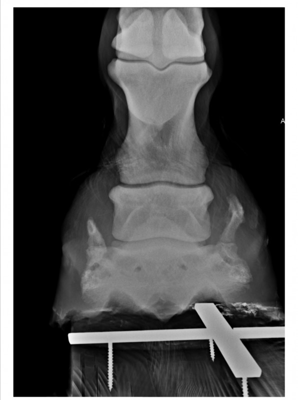
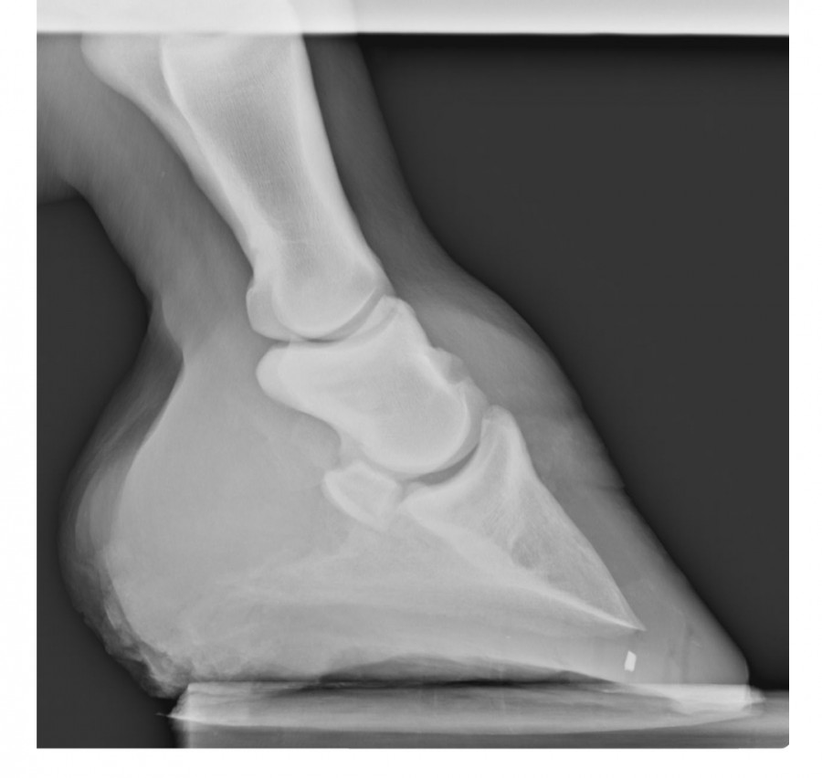
marechal05 Oui j'ai fait des radios de l'antérieur droit en 2017 suite à une boiterie. La véto n'avait pas pensé nécessaire d'en faire de l'antérieur gauche qui d'après elle devait très certainement avoir les mêmes problèmes : arthrose sur la face antérieure de la 2ème phalange et ossification des cartilages ungulaires.
C'est la "maladie des chevaux de trait" apparemment, ils en voient beaucoup.

En Septembre 2019 j'en ai fait faire quand même de l'antérieur gauche et effectivement les mêmes constatations ! Par contre j'en ai pas refait de l'antérieur droit à ce moment là et c'est celui qui pose problème aujourd'hui donc... Ça vaut peut-être le coup d'en refaire pour voir si ça a évolué.

Antérieur droit Mars 2017




Antérieur gauche Septembre 2019


Pollux77

Membre VIP
  

Trust : 857  (?)



  M'écrire un MP

Genre : 
Messages : 4887
0 j'aime    
Jdb : les pieds de mon cheval - boiterie p.8
Posté le 13/06/2020 à 22h38

nadaye Il faut que j'en reparle avec elle. Je prendrais les radios avec moi la prochaine fois pour qu'elle me dise ce qu'elle en pense par rapport son état actuel.

Je trouve ça dingue que pieds nus et avec les PHW il soit comme ça alors que ferré il est niquel...

Nadaye

Expert
   

Trust : 88  (?)



  M'écrire un MP

Genre : 
Messages : 939
0 j'aime    
Jdb : les pieds de mon cheval - boiterie p.8
Posté le 14/06/2020 à 00h14

pollux77 C'est pas évident

Pollux77

Membre VIP
  

Trust : 857  (?)



  M'écrire un MP

Genre : 
Messages : 4887
0 j'aime    
Jdb : les pieds de mon cheval - boiterie p.8
Posté le 21/06/2020 à 21h59

Nouvelles du jour... Ontario s'est remit à boiter assez fort de l'antérieur droit...

Alors j'ai peut-être une explication : les PHW n'ont quand même pas trop apprécié l'escapade de 3km de la semaine dernière finalement et elles commencent à se dégrader.
Aux deux pieds elles percent au niveau de la pince et à l'antérieur droit dessous elles se soulèvent du coup des saletés viennent se mettre dessous.

Résultat ça fait une belle bosse d'amas de terre et mini cailloux sur tout le devant du pied au niveau de la pince. Je pense que c'est ce qui le gène.
Ce soir j'ai agrandit le trou à la pince et soulevé un peu plus sous le pied pour faire sortir le max de terre, demain je vais essayer de lui retirer la bande du coup je pense...

On m'a envoyé ça sur FB : https://www.michel-vaillant-marechalerie.com/fr/arthrose-cheval/1077-721-fer-alu-jmd-arthropathix-anterieur.html#/723,declinaison,t0-larg-136-x-long-136-mm-228-g-prix-unitaire

Je vais en parler au maréchal, ça pourrait coller avec les compensations qu'on recherche : contension de la distortion du pied, légèreté et bords biseautés pour aider la bascule du pied.

Marechal05

Initié
 

Trust : 50  (?)



  M'écrire un MP

Genre : 
Messages : 186
1 j'aime    
Jdb : les pieds de mon cheval - boiterie p.8
Posté le 22/06/2020 à 20h11

pollux77

Bien le fer Alu, mais normalement ton MF peux te le faire en modifiant un fers classique.
J'ai peur que vu la masse le fers Alu il tienne pas longtemps.
Mais demande lui toujours

Pollux77

Membre VIP
  

Trust : 857  (?)



  M'écrire un MP

Genre : 
Messages : 4887
0 j'aime    
Jdb : les pieds de mon cheval - boiterie p.8
Posté le 23/06/2020 à 15h13

marechal05 Ah oui je n'avais pas pensé à la résistance du fer. L'alu me paraissait bien par rapport à sa légèreté face au fer classique.

Pour le moment : PHW 1 - 0 Pollux77

C'est coriaces ces trucs là ! J'ai pas réussi à les retirer, j'ai juste réussi à en découper une petite partie pour facilité le retrait des saletés qui se mettent dessous.

Édité par pollux77 le 23-06-2020 à 15h14



Pollux77

Membre VIP
  

Trust : 857  (?)



  M'écrire un MP

Genre : 
Messages : 4887
2 j'aime    
Jdb : les pieds de mon cheval - boiterie p.8
Posté le 29/07/2020 à 12h02

Bonjour !! La suite ^^

Après avoir réussi à percer la PHW tout est rentré dans l'ordre. C'était bien ce qui le faisait boiter, cette accumulation de saletés sous la bande.

La podologue est revenue jeudi dernier, elle a retiré les PWH et fait un "vrai" parage des 4 pieds. Je dis vrai parce que la dernière fois vu l'état des pieds et ses douleurs elle n'y avait pas trop touché.

Les pieds ont très peu poussé, comme d'hab chez lui, par contre ils sont en très bon état et on est enfin au niveau des trous des clous ! Donc au prochain parage on n'aura plus du tout de trace des fers

Il s'est montré sensible les 1ères minutes après parage et pose des nouvelles PHW mais après niquel ! Il marche normalement et ne montre aucun signe de gêne, je suis contente !!

Prochain parage vers le 25 Août, à 5 semaines, parce que la podologue part en vacances après et que ça aurait fait 8 semaines si on avait prit le rdv après ses vacances.
Suivant le résultat de la pousse des pieds on repartira ou pas sur un nouveau cycle de PHW. Ça va dépendre aussi de l'état des sols, je me dis que ce serait pas mal d'attendre un nouveau cycle qui ferait arriver presque à l'automne. Période plus cool pour une libération totale des petons ^^

En attendant j'ai quand même acheté des hippo ! Même si on ne les utilisera pas avant plusieurs mois, j'en ai trouvé à priori à la bonne taille d'occasion donc j'ai pris ^^
On lui essayera au parage de fin Août avant de remettre les PHW et si elles vont on pourra les utiliser à l'automne

Ce sont des Equine Fusion All Terrain Ultra 16, ses pieds faisant 155cm/155cm.
J'espère qu'elles iront bien

Marechal05

Initié
 

Trust : 50  (?)



  M'écrire un MP

Genre : 
Messages : 186
0 j'aime    
Jdb : les pieds de mon cheval - boiterie p.8
Posté le 29/07/2020 à 17h46

Super ! Espérons que les PHW tienne un peu plus longtemps cette fois si.

C'est cool si les clous arrive en bas, bientôt elle va pouvoir travailler sur un pied qui n'est plus fragiliser par la pose des fers.

Tiens nous au courant.

Pollux77

Membre VIP
  

Trust : 857  (?)



  M'écrire un MP

Genre : 
Messages : 4887
0 j'aime    
Jdb : les pieds de mon cheval - boiterie p.8
Posté le 30/07/2020 à 18h50

marechal05 Oui ! Et encore elles ont pas mal tenu. La podologue m'a dit que souvent à 4 semaines elles étaient HS, moi elle a dû les découper et les retirer alors qu'on était à 6 semaines.

J'ai reçu les Equine Fusion aujourd'hui ! Hâte de pouvoir les essayer ! Elles sont vraiment énormes lol

Pollux77

Membre VIP
  

Trust : 857  (?)



  M'écrire un MP

Genre : 
Messages : 4887
4 j'aime    
Jdb : les pieds de mon cheval - boiterie p.8
Posté le 11/08/2020 à 15h21



Marechal05

Initié
 

Trust : 50  (?)



  M'écrire un MP

Genre : 
Messages : 186
0 j'aime    
Jdb : les pieds de mon cheval - boiterie p.8
Posté le 11/08/2020 à 15h54

pollux77

Sa a l'air d'aller les pieds

Pollux77

Membre VIP
  

Trust : 857  (?)



  M'écrire un MP

Genre : 
Messages : 4887
0 j'aime    
Jdb : les pieds de mon cheval - boiterie p.8
Posté le 11/08/2020 à 16h19

marechal05 Oui ! Je suis contente

Pollux77

Membre VIP
  

Trust : 857  (?)



  M'écrire un MP

Genre : 
Messages : 4887
1 j'aime    
Jdb : les pieds de mon cheval - boiterie p.8
Posté le 11/08/2020 à 22h23

Et aujourd'hui, après presque 4 mois, on a refait une mini balade ! Ça s'est super bien passé ! Il est en forme le gros ^^
Je ne vais pas le faire trop souvent pour pas abîmer les PHW et pas aller trop vite en besogne mais c'est sur la bonne voie

Pollux77

Membre VIP
  

Trust : 857  (?)



  M'écrire un MP

Genre : 
Messages : 4887
1 j'aime    
Jdb : les pieds de mon cheval - boiterie p.8
Posté le 23/10/2020 à 18h10

Nous voilà 2 mois plus tard !

Depuis le 8 Octobre Ontario n'a plus ses PHW et ça se passe plutôt bien. Il fait que je surveille ses seimes de très près, j'ai commandé du Hoof Stuff que j'attends toujours pour aider.

La veille du départ au pré il s'est barré et donc s'est fait qq dégâts sur les pieds
Mais comme depuis il est à l'herbe ça va ! J'attends que les 3 loustics posent leurs bagages dans le nouveau pré pour ressortir le gros avec ses hipposandales.



Notre première balade en chaussures



Et ce matin quand je suis allée donner les CMV


Édité par pollux77 le 23-10-2020 à 18h11



Pollux77

Membre VIP
  

Trust : 857  (?)



  M'écrire un MP

Genre : 
Messages : 4887
3 j'aime    
Jdb : les pieds de mon cheval - boiterie p.8
Posté le 11/11/2020 à 22h32

Maintenant que les loustics ont prit leurs marques, j'ai repris les balades avec Ontario ! D'abord autour du pré pour voir si les 2 autres bougent et depuis 2 balades je pars complètement !
Autour du pré c'est du 100% herbe du coup il n'avait rien aux pieds et nickel ! Les deux autres on a chaussé les hipposandales. J'ai vraiment du mal à savoir s'il est bien dedans, enfin si la taille est vraiment bien... En tout cas, à part quelques ratés quand il ne lève pas assez les pieds, c'est parfait sur tous sols !!

J'ai même tenter de relonger 30sec sur un cercle : 0 boiterie ! Je trouve ça juste incroyable, je suis trop contente !!
J'envisage de nouveau un avenir en rando et pourquoi pas en TREC, mon rêve

Et je ne sais pas si j'hallucine ou pas mais je le trouve plus confortable pieds nus... C'est pas un fauteuil non plus, on en est loiiiiin lol
Mais franchement moins pire ^^

En tout cas, il a la pêche

Page(s) : 1 2 3 4 5 6 7 8
Jdb : les pieds de mon cheval - boiterie p.8
 Répondre au sujet