Fourbure chronique, alimentation, mode de vie...

 Répondre au sujet
Page(s) : 1 2 3 4 5
Auteur
3918 vues - 68 réponses - 0 j'aime - 9 abonnés

Jaffajaffa

Initié
 

Trust : 78  (?)



  M'écrire un MP

Genre : 
Messages : 123
Fourbure chronique, alimentation, mode de vie...
Posté le 11/03/2020 à 02h11

Bonjour/bonsoir à tous et à toute,

Désolé pour ce poste sûrement répétitif mais je n’ai pas trouvé réponse à mes questions dans les postes précédents et je me dis que chaque cas est « unique » car nos loulous sont tous différents 🤷🏻‍♀️

Alors voilà, j’ai une jument de bientôt 23 ans, atteinte de fourbure dite « chronique » depuis ses 18/19 ans environ...
Elle vit actuellement au pré/box enfin je m’explique, elle a son box paillé ouvert 24h/24 sur son paddock en sable en hiver et en été celui-ci est ouvert sur son pré en herbe et le box n’est plus paillée il lui sert d’abri si on peut dire. Actuellement elle est nourrie à l’orge mouiller ( 0,5L matin et soir ) ainsi que du foin matin et soir. En été elle n’a plus rien à part l’herbe et un filet à foin pour le soir ( car je ne la laisse pas au pré toute la journée, seulement quelques heures début de saison, et ensuite ont passe à des demis journée et en fin de saison lorsque tout est sec elle y reste toute la journée et la nuit comme les autres loulous de la pension.

Elle n’est pas grosse. Enfin... Je croit que chacun a sa vision d’un cheval gros, en tout cas elle n’a pas de ventre ont voie quelques cottes, mais elle a toujours du gras au niveau de l’encolure ( et ceux peut importe la période elle la toute l’année ! ) et je n’arrive pas à le faire disparaître 🤷🏻‍♀️

Pour en revenir à l’alimentation, en pleine hiver elle a en plus des 1L d’orge à la journée, 1,5L de floc de la marque destrier pour chevaux âgés accompagner d’un complètement dinavena pour ses pieds et par cure de 25 jours de la reine des pré ( complément naturelle bon pour les chevaux fourbue ) sans les floc elle fond énormément et perd beaucoup en état. D’ailleurs l’ajout des flocs a été proposer par mon vétérinaire. ( il ne m’a pas donner de marque précise et mis connaissant mal en alimentation j’ai prit des sac de 20kg que je trouvais en magasin spécialisé ) elle a aussi eu du Dinavena pendant une période.

Depuis aujourd’hui j’ai vue une certaine difficulté à ce déplacer, elle marche lentement, trotte en mettant tout son poids vers l’arrière et elle est vraiment raide. Pas de pieds chaud, n’y de pouls digité frapper, pas de douleurs en pince. Mais elle lève quand même ses antérieurs l’un après l’autre pour montré une gêne et sûrement soulager ses pieds. J’ai alors supprimer toute nourriture sauf le foin. Et donner de l’aspirine ainsi qu’un sachet d’equipalazone.
Habituer malheureusement à ce genre d’événement, je souhaite mieux les prévenir et les évités à l’avenir, et en apprendre plus sur l’alimentation. Comme qu’elle genre d’alimentation est la plus pauvre ?

Y a t’il des compléments à donner comme la reine des prés qui pourrait l’aider à l’année ou en période de crise ( peut douloureuse comme très aiguë ) ?

En faite pour faire simple je suis à la recherche de moyens pour améliorer son quotidien de jument à la retraite... Ah oui car j’ai oublier de le préciser mais elle ne travaille plus. Je fait simplement des balades à pieds régulièrement et des balades en groupe en été quand tout va bien.

Alors oui vous allez me dire que sa fait un moment qu’elle est atteinte de fourbure chronique, et que j’ai l’air de prendre conscience de là choses que maintenant mais ce n’est pas le cas ... Je pensais juste faire bien jusqu’à maintenant et pourtant sa continue, je me sent dépasser et impuissante alors merci de ne pas juger. Je suis simplement à la recherche de moyen pour lui rendre la vie plus douce.

Édité par jaffajaffa le 11-03-2020 à 02h14

Jaffajaffa

Initié
 

Trust : 78  (?)



  M'écrire un MP

Genre : 
Messages : 123
0 j'aime    
Fourbure chronique, alimentation, mode de vie...
Posté le 11/03/2020 à 16h46


feerine a écrit le 11/03/2020 à 07h19:
Ce que je vais dire n'est qu'une piste issue de mon expérience personnelle. Ce qui est difficile avec les pieds, c'est que c'est multifactoriel et bien souvent, on tâtonne, malheureusement.

Personnellement, j'augmenterais le foin en choisissant une qualité peu riche, donc fait tard, avec plus de tiges d'herbe que de feuilles. Ou alors tremper le foin.
Alimentation très régulière (quantité, qualité et horaire de distribution) et changements très progressifs, ce que tu fais déjà. Je donnerais également une brassée de paille en été si possible, ça leur permet de grignoter au frais.
Une poignée d'aliment sans céréales pour faire passer un CMV
S'assurer qu'elle boit suffisamment (ma jument buvait trop peu, elle n'aimait pas le débit ni le goût de l'abreuvoir automatique)
Soulager les pieds, temporairement du moins, par un parage ou ferrage adapté et bien fait
Un drainage au printemps (de mon côté je le fais quand l'herbe est la plus grasse)
Et une prise de sang en plus du Cushing, pour vérifier qu'il n'y a rien d'anormal (carence, anémie ou autre joyeuseté)
Et bien sûr ostéo et dentiste comme pour n'importe quel cheval

Si l'inconfort est faible, je donne de l'homéopathie pour soulager la douleur ou en complément des médicaments si la crise est forte.

Ma jument a fait une fourbure à 13 ans, à 14 elle a de nouveau eu un petit épisode vite enrayé. Il y a 3 ans,antérieurs chauds et difficulté à se mouvoir, apathie. Depuis je fais des prises de sang annuelles et ça me permet de corriger les carences. Au dernier parage, j'ai fait la danse de la joie: ma jument, à 19 ans, a ENFIN une paroi digne de ce nom!

Courage, c'est pas facile de gérer ces p'tits vieux et les voir vieillir...


Pour le foin elle a du foin plutôt pauvre et en quantité régulière ( un gros filet le matin et 2 filets le soir ). En été elle a juste un filet dans son box qui lui sert d’abris puisqu’elle ne passe pas la journée dehors, mais souvent elle y touche pas énormément en été.

Excuse moi mais au risque de passer pour une inculte qu’est ce qu’un CMV ?

L’orge est donner par la pension pas par moi, c’est la seul alimentation qu’il propose pour nourrir les chevaux.

Le maréchal est passer y a 1 semaine environs et justement il était très content de l’évolution de son pieds, la corne est redevenu de bonne qualité et là sol est bien épaisse. Mais malheureusement hier début de crise...

Jaffajaffa

Initié
 

Trust : 78  (?)



  M'écrire un MP

Genre : 
Messages : 123
0 j'aime    
Fourbure chronique, alimentation, mode de vie...
Posté le 11/03/2020 à 16h48

himaliae

Oui des radios ont été faite après chaque crise aiguë. Le maréchal la part en conséquence.
Je peut apporter des photos ce soir après mon passage.

Quand elle n’est pas en crise elle marche correctement trotte et galope comme une folle.

Jaffajaffa

Initié
 

Trust : 78  (?)



  M'écrire un MP

Genre : 
Messages : 123
0 j'aime    
Fourbure chronique, alimentation, mode de vie...
Posté le 11/03/2020 à 16h51


quiebro13 a écrit le 11/03/2020 à 10h03:
Déjà elle manque cruellement de vitamines et minéraux surtout l'été si elle n'a que du foin.

Le fait qu'elle ai du gras dans l encolure malgré une alimentation plutôt pauvre peut être le signe d'une insulino résistance il faudrait peut être creuser du côté des syndromes SME

Un cheval n'est pas fait pour manger de l'amidon et encore moins les fourbus, passer sur un aliment sans céréales. Il en existe pas mal sur le marché. J'ai testé le total horse feed, mais le Husse sensitive a un meilleur rapport qualité prix. Tu as aussi pure feed qui en fait. Il te faut un taux d'amidon au moins inférieur à 10%

Et donner un CMV si tu donnes 1L ou moins d'aliment concentré sinon les apports en vitamines et minéraux quotidiens ne seront pas couverts.

Le curcuma est aussi un bon anti inflammatoire



Effectivement je pensais faire une prise de sang globale pour voir si il y a un manque quelques part.
Qu’est ce qu’un CMV?
Merci pour l’alimentation je vais regarder ça pour changer ses floc ...

Geriko42

Membre ELITE Or
  

Trust : 444  (?)



  M'écrire un MP

Genre : 
Messages : 72435
0 j'aime    
Fourbure chronique, alimentation, mode de vie...
Posté le 11/03/2020 à 16h55

jaffajaffa Complément Vitamines et Minéraux. Les masses graisseuses à ces endroits me font penser à Cushing (attention, suivant les périodes, il peut y avoir des faux négatif).
J'enlèverai tout amidon de son alimentation dans un 1er temps si elle n'est pas bien

Jaffajaffa

Initié
 

Trust : 78  (?)



  M'écrire un MP

Genre : 
Messages : 123
0 j'aime    
Fourbure chronique, alimentation, mode de vie...
Posté le 11/03/2020 à 16h58


euterpe94 a écrit le 11/03/2020 à 12h01:
Tu as des photos de ses pieds ? Car l'une des causes de fourbure c'est un parage inadapté, c'est mécanique : des talons serrés et hauts facilitent la bascule de la phalange.

Je suis aussi d'avis de supprimer l'orge et le concentré. Tu peux trouver d'autres aliments sans céréale, surtout fibreux et riches en protéines. Attention au fer qui en excès entraîne plus d'inflammation, la luzerne en est riche. Le tourteau de lin c'est bien.
L'huile tu peux, aucun problème pour les fourbus !

Tu as la possibilité de tester ta jument pour le SME? Syndrome métabolique équin, c'est une sorte de pré diabète.

Pour te partager mon expérience, je m'occupe d'une jument qui était grosse et fourbue chronique. À partir du moment où je l'ai complémentée avec un CMV très riche en calcium magnésium et phosphore, (70gr de poudre pure) elle a commencé à maigrir et adieu la sensibilité des pieds (ça fait prêt de 3 ans que je suis tranquille). Aujourd'hui elle mange ce qu'elle veut, elle a tous les jours la popote d'aliments sans céréale et même lorsqu'elle travaille elle a droit à des granulés bien dégueux qu'elle adore.
Tu as equideos qui fait un bon CMV par exemple


Je peut apporter des photos de ses pieds ce soir. Son maréchal la suis depuis le début et a toujours suivis les radios pour son parage.
Elle n’a pas de fer rien le maréchal n’y voie pas l’utilité et n’est pas trop pour, et moi non plus je tient à la laisser pieds nue si ce n’est pas nécessaire de la ferrer.

Que donne tu en alimentation? Qu’elle CMV donne tu?

Jaffajaffa

Initié
 

Trust : 78  (?)



  M'écrire un MP

Genre : 
Messages : 123
0 j'aime    
Fourbure chronique, alimentation, mode de vie...
Posté le 11/03/2020 à 17h00

geriko42

Elle a déjà été tester négative, mais je pensait en refaire une. J’apporterai des photos ce soir

Euterpe94

Membre VIP

Trust : 18  (?)


  Mon site internet
  M'écrire un MP

Genre : 
Messages : 3893
0 j'aime    
Fourbure chronique, alimentation, mode de vie...
Posté le 11/03/2020 à 18h02

https://www.equideos.com/nutrition/gamme-minerale.html

Je te conseillerais le Min boost pour son rapport élevé calcium/phosphore

Jinssa

Membre ELITE Bronze
  

Trust : 2539  (?)



  M'écrire un MP

Genre : 
Messages : 7077
0 j'aime    
Fourbure chronique, alimentation, mode de vie...
Posté le 11/03/2020 à 19h59

euterpe94

Ça apporte quoi le phosphore/ calcium sur un fourbu?
A tout hasard tu n as pas des photos de pieds fourbus parés correctement?

Jaffajaffa

Initié
 

Trust : 78  (?)



  M'écrire un MP

Genre : 
Messages : 123
0 j'aime    
Fourbure chronique, alimentation, mode de vie...
Posté le 11/03/2020 à 20h54

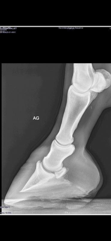
Voilà les dernières radios de ma jument. Ainsi que ses pieds actuellement :















Feerine

Apprenti
  

Trust : 11  (?)



  M'écrire un MP

Genre : 
Messages : 416
0 j'aime    
Fourbure chronique, alimentation, mode de vie...
Posté le 11/03/2020 à 22h32

emi39 J'avoue que je ne fais pas de calcul de ration, donc sincèrement, je ne sais pas. Mes juments sont des "chevaux de compagnie" et de race rustique, donc faciles à maintenir en état :-) Et il me semble que la nutrition précise est tellement compliquée et personnalisée que j'applique le principe "quand ça va bien, on ne change rien".

Je connais peu le tourteau, j'aurais peur que ce soit trop riche. Je partirais plutôt sur un tout petit peu de luzerne séchée mais c'est à prendre avec des pincettes.

Jaffajaffa

Initié
 

Trust : 78  (?)



  M'écrire un MP

Genre : 
Messages : 123
0 j'aime    
Fourbure chronique, alimentation, mode de vie...
Posté le 11/03/2020 à 23h31

Ah oui et je ne sait pas si c'est bon mais je suppose que oui... Je lui est mis des bandes de repos et flanelle pour la circulation sanguine... Sa aidera peut être?

Dadou_love

Compte supprimé


0 j'aime    
Fourbure chronique, alimentation, mode de vie...
Posté le 12/03/2020 à 09h54

feerine

Avec uns suspicion de cushing / SME, il vaut mieux éviter la luzerne (qui peut entraîner des fourbures...) car de la même famille que le trèfle.

Il vaut mieux enrichir la ration avec de l'huile...

En crise je donnais à mon fourbu de l'aspirine avec des douches d'eau froides des pieds concernés en essayant de maintenir du mouvement (autant qu'il en est capable), puis 15 jours après un bon drainant pour éliminer les toxines qui peuvent s'accumuler dans les pieds. C'est jamais simple comme gestion

Euterpe94

Membre VIP

Trust : 18  (?)


  Mon site internet
  M'écrire un MP

Genre : 
Messages : 3893
1 j'aime    
Fourbure chronique, alimentation, mode de vie...
Posté le 12/03/2020 à 11h49

jinssa Les CMV rétablissent le fonctionnement du métabolisme et c'est important d'avoir deux fois plus de calcium que de phosphore pour ne pas provoquer une décalcification des os. En cas d'inflammation des pieds, c'est le risque que les os perdent en minéraux.. Les céréales sont riches en phosphore, elles peuvent provoquer ce déséquilibre.

Les pieds de ta jument sont pas beaux du tout. Les talons sont serrés et hauts. Il y a peut être 1cm de talons en trop et les barres sont très orientées vers la verticale, elles empêchent complètement la distorsion de l'arrière du pied.
Tu es de quelle région ?

Euterpe94

Membre VIP

Trust : 18  (?)


  Mon site internet
  M'écrire un MP

Genre : 
Messages : 3893
0 j'aime    
Fourbure chronique, alimentation, mode de vie...
Posté le 12/03/2020 à 12h09

Pour te donner quelques exemples:

Voici une ponette pour qui j'ai été appelé. Elle avait du mal à marcher, le maréchal avait été appelé avant moi et avait dit "elle a mal au dos, il faut un ostéo". Je suis arrivée et j'ai dit "elle a mal aux pieds"
L'antérieur droit était le plus atteint.



Je n'ai pas pris de photo en gros plan après parage mais j'espère qu'on verra quelque chose.
Adios les talons ! J'ai prévenu, elle allait tout de même être un peu douloureuse mais plus que les pieds, c'était ses articulations qui lui feraient mal. Car des pieds aux talons hauts ainsi provoquent une rétraction des tendons fléchisseurs et ligaments à l'arrière. Finalement la ponette cavalait le lendemain !


Euterpe94

Membre VIP

Trust : 18  (?)


  Mon site internet
  M'écrire un MP

Genre : 
Messages : 3893
1 j'aime    
Fourbure chronique, alimentation, mode de vie...
Posté le 12/03/2020 à 12h18

Un autre poney qui présentait une boiterie de l'antérieur droit à patte cassée donc sa propriétaire a appelé un maréchal qui a percé un abcès bien profond mais pas touché au reste..

Je n'ai pas de photo avant, le pied ressemblait à celui la ponette mais au moins j'ai des photo de prêt du après : adios les talons et ouverture des barres ! A part l'abcès qui avait été trop creusé et qui faisait encore mal, le poney se tenait tout de suite mieux et a arrêté de porter sa masse vers l'arrière.




C'est un parage intrusif mais de mon point de vue et sur plusieurs cas, j'ai trouvé très efficace ! Là ta jument n'a pas eu de grosse bascule de phalange donc tu peux y aller, en descendant les talons en deux fois pour être précautionneux, je ne pense pas qu'elle souffrira de ses boulets
Page(s) : 1 2 3 4 5
Fourbure chronique, alimentation, mode de vie...
 Répondre au sujet